Dr. Pablo Mariani Rovea - Cirugía de cadera

Dr. Pablo Mariani Rovea - Cirugía de caderaDr. Pablo Mariani Rovea - Cirugía de caderaDr. Pablo Mariani Rovea - Cirugía de cadera

Dr. Pablo Mariani Rovea - Cirugía de cadera

Dr. Pablo Mariani Rovea - Cirugía de caderaDr. Pablo Mariani Rovea - Cirugía de caderaDr. Pablo Mariani Rovea - Cirugía de cadera
  • Inicio
  • Antes de la cirugía
  • Durante la internación
  • Luego del alta
  • Planificación 3D
  • Charla 3D
  • Casos resueltos
  • Entrevista Televida
  • FAQs Preguntas Frecuentes
  • Turnos Online

Algunos casos resueltos

Artroplastía total de cadera izquierda

Artroplastía total de cadera bilateral en un tiempo

Artroplastía total de cadera bilateral en un tiempo

Paciente de 53 años, con artrosis bilateral de cadera . Se realizó un reemplazo total de cadera izquierda no cementada.

Artroplastía total de cadera bilateral en un tiempo

Artroplastía total de cadera bilateral en un tiempo

Artroplastía total de cadera bilateral en un tiempo

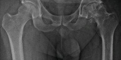
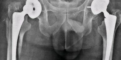
Paciente de 52 años, con artrosis bilateral de cadera. Se realizó una artroplastía total de cadera bilateral en un tiempo.

Artroplastía total de cadera izquierda

Artroplastía total de cadera bilateral en un tiempo

Revisión de prótesis de cadera en un tiempo

Paciente de 41 años, artrosis de cadera izquierda secundaria a necrosis ósea avascular (NOA). Se realizó una artroplastía total de cadera izquierda no cementada.

Revisión de prótesis de cadera en un tiempo

Artroplastía total de cadera bilateral en un tiempo

Revisión de prótesis de cadera en un tiempo

Paciente de 56 años con fractura periprotésica de cadera derecha. Se realizó revisión en un tiempo con tallo no cementado de fijación distal y cotilo no cementado multiperforado

Artroplastía total de cadera bilateral en un tiempo

Artroplastía total de cadera bilateral en un tiempo

Artroplastía total de cadera bilateral en un tiempo

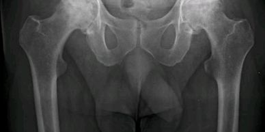
Paciente de 47 años, con artrosis bilateral de cadera. Se realizó reemplazo articular de ambas caderas en un tiempo con prótesis no cementada total

Artroplastía no convecional de cadera

Artroplastía total de cadera bilateral en un tiempo

Artroplastía total de cadera bilateral en un tiempo

Paciente de 43 años, con fractura patológica de cadera derecha. RMN mostró afectación de femur proximal, por lo que se realizó una artroplastía total de cadera con tallo no convencional.

Copyright © 2025 Dr. Pablo Mariani Rovea - Cirugía de cadera - Todos los derechos reservados.


Con tecnología de

Política con respecto a cookies

Este sitio web utiliza cookies Al seguir utilizando este sitio, aceptas nuestro uso de cookies.

Aceptar y cerrar